首 页
招贤纳才
联系我们
客户留言
欢迎光临!
产品搜索:
全国免费咨询热线:4007006689
  产品介绍
  兔单抗简介
  抗体产品目录
  试剂盒
  辅助材料
  抗体产品目录

产品名称:

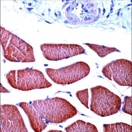
Actin(Sarcomeric)横纹肌肌动蛋白鼠单克隆抗体

产品编号:

AM0003
  详细信息
克 隆 号: 5C5
Actin(Sarcomeric) 骨骼肌 AEC显色
Ig 分 类: IgG
适用组织: 石蜡/冰冻
阳性部位: 细胞浆
阳性对照: 骨骼肌
预 处 理: 热修复(柠檬酸)
  暂无说明书下载

本抗体有高度的特异性,与平滑肌肌动蛋白无交叉反应,能和正常横纹肌及各种横纹肌肿瘤细胞中的肌动蛋白反应。

 

 

 

Copyright © 2009-2010 广州深达生物制品技术有限公司版权所有. 技术支持:广州市今鼎科技
粤ICP备09099250号