首 页
招贤纳才
联系我们
客户留言
欢迎光临!
产品搜索:
全国免费咨询热线:4007006689
  产品介绍
  兔单抗简介
  抗体产品目录
  试剂盒
  辅助材料
  抗体产品目录

产品名称:

FHIT(Fragile Histidine Triad) 兔多克隆抗体

产品编号:

DP0958
  详细信息
克 隆 号: polyclonal
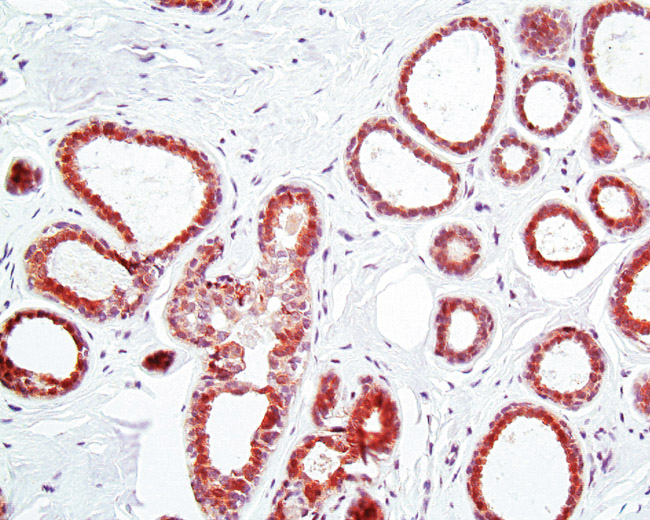
乳 腺,抗 FHIT 兔多克隆抗体 AEC显色
Ig 分 类: IgG
适用组织: 石蜡/冰冻
阳性部位: 细胞核
阳性对照: 乳腺
预 处 理: 热修复(柠檬酸)
  暂无说明书下载

FHIT是一种抑癌基因,其基因的易位和突变以及伴随的基因表达的紊乱与多种肿瘤的发生和发展密切相关,如肺、头颈部、乳腺、胃、胰腺等组织的恶性肿瘤。此抗体可以识别分子量为17kDa的FHIT蛋白,主要用于肿瘤方面的研究。

 

 

 

 

 

 

Copyright © 2009-2010 广州深达生物制品技术有限公司版权所有. 技术支持:广州市今鼎科技
粤ICP备09099250号