首 页
招贤纳才
联系我们
客户留言
欢迎光临!
产品搜索:
全国免费咨询热线:4007006689
  产品介绍
  兔单抗简介
  抗体产品目录
  试剂盒
  辅助材料
  抗体产品目录

产品名称:

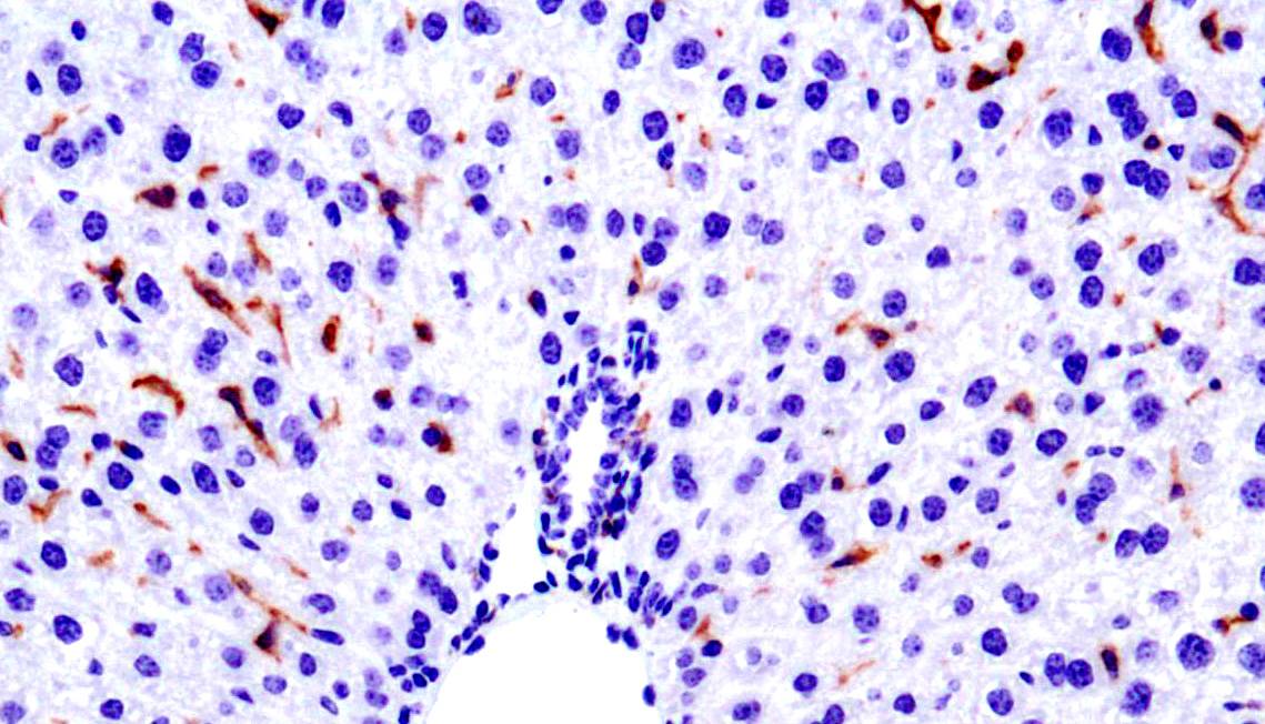
F4/80 兔单克隆抗体

产品编号:

AR0279
  详细信息
克 隆 号: SD115
F4/80 小鼠肝脏 AEC显色
Ig 分 类: IgG
适用组织: 石蜡/冰冻
阳性部位: 细胞浆
阳性对照: 小鼠肝脏
预 处 理: 热修复(EDTA)
  暂无说明书下载
Mouse EGF-like module-containing mucin-like hormone receptor-like 1 (小鼠含生长因子样模体粘液样激素样受体,EMR1),又称F4/80又称称是一种细胞表面糖蛋白,是EGF TM7蛋白家族的一员,与人的EMR1蛋白有68%氨基酸一致性。研究发现,在巨噬细胞的成熟和活化过程中,F4/80蛋白的表达发生明显变化。F4/80蛋白表达于多种成熟的巨噬细胞中,如枯否细胞、朗格汉斯细胞、小神经胶质细胞以及位于腹膜、肠固有层、脾脏红髓、肺、胸腺、骨髓基质中的巨噬细胞。
Copyright © 2009-2010 广州深达生物制品技术有限公司版权所有. 技术支持:广州市今鼎科技
粤ICP备09099250号