首 页
招贤纳才
联系我们
客户留言
欢迎光临!
产品搜索:
全国免费咨询热线:4007006689
  产品介绍
  兔单抗简介
  抗体产品目录
  试剂盒
  辅助材料
  抗体产品目录

产品名称:

S100 兔单克隆抗体

产品编号:

AR0210
  详细信息
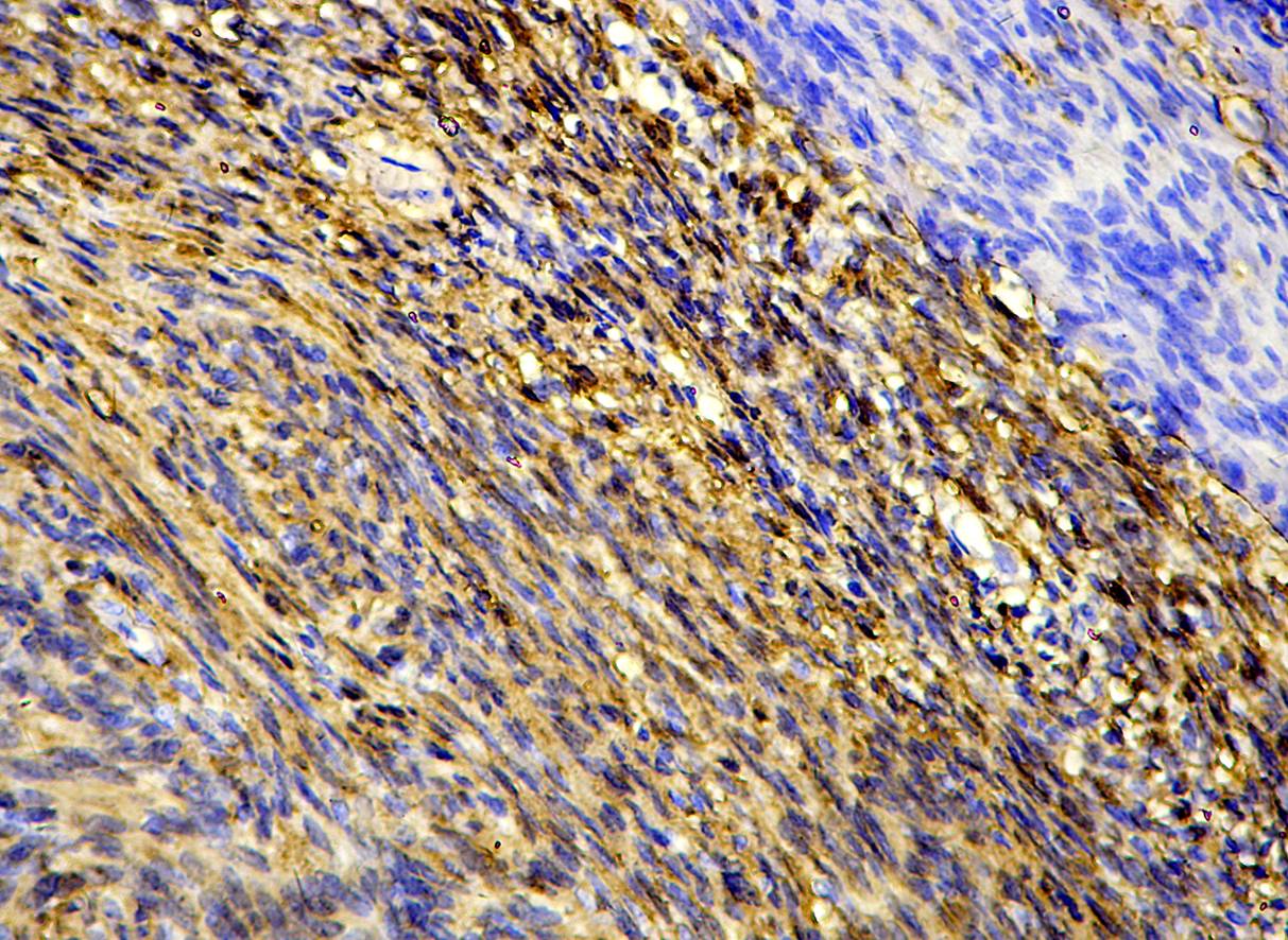
克 隆 号: SD16
神经鞘瘤,抗S100兔单克隆抗体 DAB显色
Ig 分 类: IgG
适用组织: 石蜡/冰冻
阳性部位: 细胞浆/核
阳性对照: 恶性黑色素瘤
预 处 理: 热修复
  产品说明书下载(PDF)
S-100是一种可溶性酸性蛋白。有3种亚型,即S-100ao、 S-100a、 S-100b。 S-100主要存在神经组织、垂体、颈动脉体、肾上腺髓质,唾液腺、少数间叶组织,主要用于星形细胞瘤、室管膜瘤、神经母细胞瘤、神经鞘瘤、恶黑、脂肪肉瘤和langerhans细胞增生疾病的诊断与鉴别诊断。
 
Copyright © 2009-2010 广州深达生物制品技术有限公司版权所有. 技术支持:广州市今鼎科技
粤ICP备09099250号