首 页
关于深达
产品介绍
技术支持
资讯中心
招贤纳才
联系我们
订货指南
客户留言
欢迎光临!
产品搜索:
全国免费咨询热线:4007006689
产品介绍
兔单抗简介
抗体产品目录
试剂盒
辅助材料
抗体产品目录
产品名称:
CA19-9(肿瘤抗原19-9)鼠单克隆抗体
产品编号:
AM0020
详细信息
克 隆 号:
116-NS-19-9
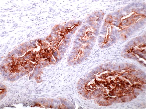
CA19-9 结肠癌 AEC显色
Ig 分 类:
IgG1
适用组织:
石蜡/冰冻
阳性部位:
细胞浆
阳性对照:
胰腺癌
预 处 理:
热修复
产品说明书下载(PDF)
CA19-9为唾液酸化的乳-N-岩藻戊糖Ⅱ,是一种类粘蛋白的糖蛋白。在消化道恶性肿瘤,尤其是胰腺癌、胆囊癌病人中,CA19-9阳性表达明显增高,可作为胰腺癌诊断的一个较好的标志物。
Copyright © 2009-2010 广州深达生物制品技术有限公司版权所有. 技术支持:
广州市今鼎科技
粤ICP备09099250号