首 页
招贤纳才
联系我们
客户留言
欢迎光临!
产品搜索:
全国免费咨询热线:4007006689
  产品介绍
  兔单抗简介
  抗体产品目录
  试剂盒
  辅助材料
  抗体产品目录

产品名称:

AMACR/p504S兔单克隆抗体

产品编号:

AR0242
  详细信息
克 隆 号: 13H4
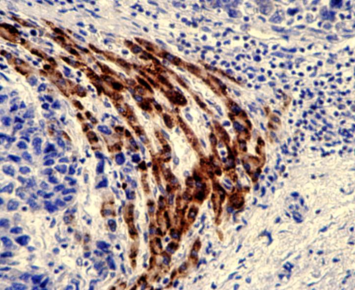
肝细胞癌,抗p504S兔单克隆抗体 DAB显色
Ig 分 类: IgG
适用组织: 石蜡/冰冻
阳性部位: 细胞浆
阳性对照: 前列腺癌
预 处 理: 热修复(EDTA pH8.0)
  产品说明书下载(PDF)
p504S是支链脂肪酸β氧化酶,表达于前列腺腺癌,但是良性前列腺组织阴性表达。在前列腺的癌前病变中也有表达,如高级别的前列腺上皮内瘤(PIN)和非典型腺样增生。除此之外,p504S在许多肿瘤中也可阳性表达如肝细胞癌、乳腺癌、胰腺胰岛肿瘤等。与34βE12、p63联合使用有助于前列腺癌的诊断。
Copyright © 2009-2010 广州深达生物制品技术有限公司版权所有. 技术支持:广州市今鼎科技
粤ICP备09099250号