首 页
招贤纳才
联系我们
客户留言
欢迎光临!
产品搜索:
全国免费咨询热线:4007006689
  产品介绍
  兔单抗简介
  抗体产品目录
  试剂盒
  辅助材料
  抗体产品目录

产品名称:

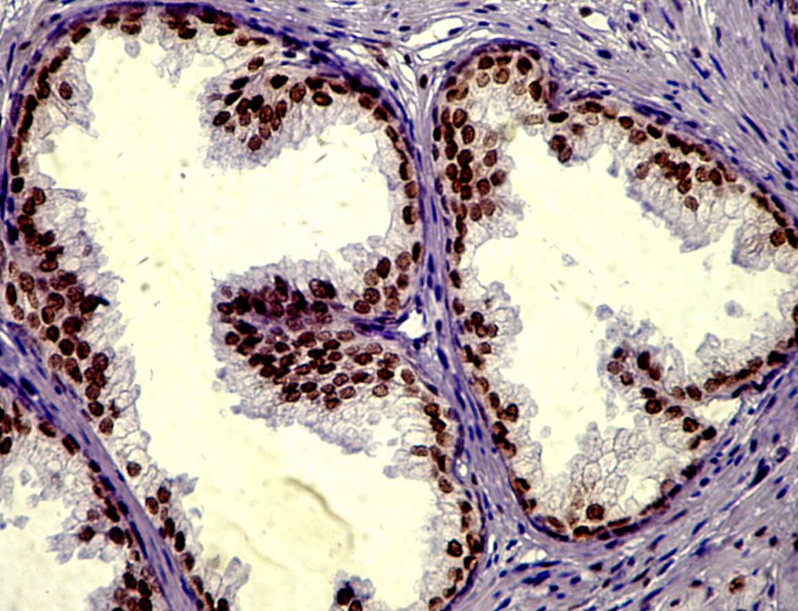
Androgen receptor(AR 雄激素受体)鼠单克隆抗体

产品编号:

AM0009
  详细信息
克 隆 号: AR441
前 列 腺,抗 A R 鼠单克隆抗体 DAB显色
Ig 分 类: IgG1
适用组织: 石蜡/冰冻
阳性部位: 细胞核
阳性对照: 前列腺癌
预 处 理: 热修复(EDTA,pH 8.0)
  产品说明书下载(PDF)
AR在前列腺癌的发生中起着重要的作用,AR的表达与组织学分型呈一定的相关性,高分化的肿瘤AR的表达要高于低分化的肿瘤。AR对前列腺癌病人的激素治疗具有指导意义。
 
 
 
Copyright © 2009-2010 广州深达生物制品技术有限公司版权所有. 技术支持:广州市今鼎科技
粤ICP备09099250号